Bizi Takip Edin
Diş implantı, diş kayıplarının yerine konulması amacıyla uygulanan, günümüz diş hekimliğinde sıklıkla tercih edilen kalıcı bir çözüm yöntemidir. Bu işlem, eksik dişin yerine yerleştirilen titanyumdan yapılmış bir vida aracılığıyla çene kemiğiyle bütünleşmiş bir yapı oluşturur. Bu vidanın üzerine protez diş yerleştirilerek doğal diş görünümüne ve işlevine en yakın sonuç sağlanır
Ağız kokusu, sosyal ilişkilerden genel yaşam kalitesine kadar birçok alanda rahatsızlık verici bir sorun olabilir. Kötü ağız kokusu, kişinin kendisini özgüvensiz hissetmesine yol açabilir ve sosyal ilişkileri olumsuz etkileyebilir. Ancak, ağız kokusunun önlenmesi genellikle doğru ağız bakımı ve hijyen alışkanlıklarıyla mümkündür.
Diş fırçası seçimi, ağız ve diş sağlığını korumak için önemlidir. Doğru diş fırçasını seçmek, dişlerinizi etkili şekilde temizleyerek çürükleri önlemeye ve diş etlerinizi sağlıklı tutmaya yardımcı olur. Diş fırçası alırken nelere dikkat edilmelidir? İşte diş fırçası seçerken göz önünde bulundurmanız gereken önemli noktalar:
Diş eti kanaması, diş ve diş eti sağlığı açısından önemli bir sorundur. Çoğu insan diş fırçalarken veya diş ipi kullanırken diş etlerinde kanama fark edebilir, ancak bu durum genellikle ihmal edilir. Diş eti kanamasının altında yatan nedenleri anlamak ve bu sorunu önlemek için doğru ağız bakım alışkanlıklarını edinmek büyük önem taşır.
Hamilelik dönemi, vücudun birçok değişikliğe uğradığı özel bir dönemdir. Bu süreçte yaşanan hormonal değişiklikler, diş eti iltihabı ve diş hassasiyeti gibi ağız sağlığı sorunlarına neden olabilir. Ancak, hamilelikte diş tedavisi konusunda birçok kişi endişelidir. Peki, hamilelikte diş tedavisi gerçekten güvenli mi?
20 yaş dişleri, diğer adıyla üçüncü azı dişleri, genellikle 17-25 yaşları arasında çıkar. Çoğu insanda bu dişler, çene yapısının dar olması veya dişlerin uygun bir şekilde çıkmaması nedeniyle sorun oluşturur. Bu durumlarda, diş hekimleri genellikle 20 yaş dişi çekimini önerir. Peki, 20 yaş dişi çekimi zor mu? Bu işlem çene yapısına ve dişin pozisyonuna göre değişiklik gösterebilir.
Toplumumuzda çocuğun diş hekimine gitme yaşının çok yüksek olduğu ve süt dişlerinin korunması ya da süt dişlerinin yapılacak tedavilere istenecek ücretlerin gereksiz olduğu düşünülür. Oysa çocuğun diş hekimiyle tanışma yaşı ve fırçalama alışkanlığını daima dişlenme dönemine kadar çocuk “ilişkisi son derece önemlidir
05.07.2019Beyaz ve parlak bir gülümseme, birçok kişi için diş estetiğinin vazgeçilmezidir. Diş beyazlatma işlemleri de bu isteği karşılamak için sıklıkla tercih edilen yöntemlerden biridir. Peki, diş beyazlatma gerçekten güvenli mi? Bu işlemin yan etkileri neler olabilir? İşte diş beyazlatma hakkında bilmeniz gerekenler.
Çene eklemi rahatsızlıkları günümüzde toplumun oldukça sık bir bölümünde görülen ve sık bir bölümünde görülen ve belirtileri nedeniyle çok farklı yorumlanan bir grup hastalıktır. Uzmanlığım sırasında, bu konuyla ilgili çalışmaya başladığımda, bu tip rahatsızlığı olan hastaların son tercih olarak diş hekimine başvurduğunu, öncelikle kulak
05.07.2019Diş hekimi koltuğu korkutucu olduğu kadar pek çok mikrobu da bulaştırıp, bulaşan mikrobu alabileceğimiz riskli bir koltuktur. Risk, sadece hasta değil hekim ve asistanı içinde mevcuttur. Kesici ve delici aletler kullanıldığı için mikrop bulaşmış olsa ve aletler kazayla hekime ufacık bir sıyrık bile açsa buradan bir çok öldürücü hastalığın bulaşması mümkündür. Bu tür enfeksiyonlardan korunmak için aletleri dikkatli kullanmak yeterli sterilizasyon yapmak ve atıkları güvenli bir şekilde imha etmek gerekir.
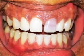
08.07.2019Lamina Porselen Tedavisi dişlerin ön yüzeyinin inceltilerek yapılan ve sağlam diş dokusunun en az kaybedildiği yöntemdir. Bu inceltilen alana porselen diş laminalarının yapıştırılma işlemidir. Beyazlatma işleminin sonuç vermediği ileri derecede renkleşmiş dişlerde, yapısal formu ve şekli kötü olan dişlerde, ayrık dişleri birleştirmede, kırık veya aşınmış dişlerin onarımında uygulanmaktadır. Hemen hemen herkese uygulanabilir.
05.07.2019